Nada menos que 150.000 por ano, um a cada quatro minutos, 3e causa de morte em França e 60% dos pacientes que terão sequelas neurológicas, estes são os números alarmantes em torno do AVC (acidente vascular cerebral). Muitas pesquisas estão em andamento para identificar tratamentos que possam proteger o cérebro dos danos causados ​​por um acidente vascular cerebral. Entre eles, o ácido úrico parece ser um candidato promissor.

Resultados encorajadores em animais

Um estudo, liderado pelo Dr. Enrique Leira e Dr. Anil Chauhan da Universidade de Iowa e financiado pelo Institutos Nacionais de Saúde (NIH), avaliou os efeitos do ácido úrico sobre roedores vítimas de acidente vascular cerebral isquêmico agudo. Os pesquisadores administraram o tratamento ou um placebo por via intravenosa e acompanhou a recuperação dos animais durante um mês através de avaliações neurológicas e ressonância magnética. Os resultados, publicados na revista AVCmostre que:

  • camundongos tratados com ácido úrico tiveram melhor recuperação sensório-motora 30 dias após o acidente vascular cerebral;
  • um número maior de animais tratados sobreviveu em comparação ao grupo controle.

A eficácia do tratamento foi observada em camundongos e ratos de diferentes perfis: jovens, idosos, obesos ou hipertensos, sugerindo que o ácido úrico poderia dar bons resultados mesmo em pessoas com comorbidades. No entanto, embora o ácido úrico tenha melhorado a função neurológica, não reduziu significativamente o tamanho das lesões cerebrais.


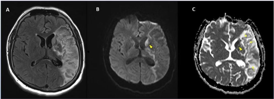
A evolução do tamanho das lesões cerebrais foi avaliada por ressonância magnética. ©RSNA

O programa SPAN e a seleção das terapias mais promissoras no tratamento do AVC

O estudo faz parte da Stroke Preclinical Assessment Network (SPAN), uma metodologia adaptativa que permite múltiplos terapias e excluir rapidamente aqueles cuja eficácia é insuficiente.

Neste programa foram testados seis tratamentos experimentais, de acordo com protocolos rigoroso: randomização, análise cega e utilização de modelos animais representativos de pacientes com AVC.

A eficácia de cada tratamento foi avaliada através de uma série de testes comportamentais, bem como pela análise de volume lesões cerebrais por ressonância magnética. Um método estatístico inovador foi aplicado para analisar dados em quatro etapas do processo de teste.

Das seis terapias avaliadas, apenas o ácido úrico demonstrou eficácia consistente ao longo do protocolo. Outras intervenções, incluindo quatro medicamentos já aprovados para outros patologias e uma técnica de condicionamento isquêmico remoto foram descartadas após análises provisórias.

Estes resultados sugerem que o ácido úrico pode ser um tratamento complementar eficaz para melhorar a recuperação após acidente vascular cerebral isquêmico agudo. No entanto, serão necessários estudos adicionais em modelos animais antes de considerar ensaios clínicos no Homem.

Fonte

Deixe um comentário

O seu endereço de e-mail não será publicado. Campos obrigatórios são marcados com *