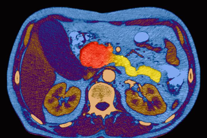
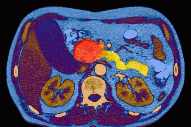
Tumor da cabeça do pâncreas visível no centro da imagem, em vermelho, em tomografia computadorizada colorida de abdome em corte axial.

É uma das patologias tumorais mais formidáveis. No câncer de pâncreas o prognóstico dos pacientes é tão ruim que o anúncio do laboratório Revolution Medicines no dia 13 de abril, há uma notícia muito feliz: a sobrevivência dobrou, graças a um candidato a medicamento inovador, o daraxonrasibe, da família dos inibidores de K-Ras.

É de facto o que prometem os resultados de um ensaio clínico de fase 3, realizado em pacientes com cancro do pâncreas em fase metastática, que tiveram recidiva após uma primeira linha de tratamento (quimioterapia que combina quatro moléculas, Folfirinox). “Esses resultados podem ser considerados excepcionais para este câncer”cumprimenta Patrick Jacquemin, professor da Universidade Católica de Louvain (Bélgica), que não participou neste ensaio.

Com 16.000 novas pessoas afetadas todos os anos em França, o cancro do pâncreas poderá tornar-se, em 2030, o segundo cancro mais mortal, depois dos tumores do pulmão. Cinco anos após o diagnóstico, a taxa de sobrevivência dos pacientes não ultrapassa 13%. É preciso dizer que a detecção desses tumores muitas vezes é tardia, pois ficam silenciosos por muito tempo; e que é notória a sua capacidade de resistir ao tratamento.

Você ainda tem 79,34% deste artigo para ler. O restante é reservado aos assinantes.

Fonte

Deixe um comentário

O seu endereço de e-mail não será publicado. Campos obrigatórios são marcados com *